Καρκίνος του Νεφρού
Γενικά
Ο Καρκίνος του Νεφρού αντιπροσωπεύει το 2-3% των νεοδιαγνωσθέντων όγκων και απαντάται συχνότερα στους άνδρες σε σχέση με τις γυναίκες σε μια αναλογία 1,5:1.
Συχνότερα εμφανίζεται κατά την 6η και 7η δεκαετία της ζωής των ασθενών, ενώ ταυτόχρονα εμφανίζει μια αυξητική τάση στις προηγμένες χώρες. Αυτό συμβαίνει γιατί η χρήση σύγχρονων απεικονιστικών μεθόδων όπως τα υπερηχογραφήματα, η αξονική τομογραφία και η μαγνητική τομογραφία έχει οδηγήσει στην ανεύρεση ασυμπτωματικών όγκων, με μόλις το 15% να έχει την χαρακτηριστική συμπτωματολογία αιματουρίας, ψηλαφητής μάζας και πόνου.
Διάγνωση
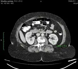
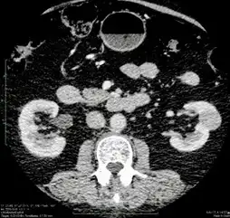
Η διάγνωση πραγματοποιείται με αξονική τομογραφία μετά τη χορήγηση ενδοφλέβιου σκιαγραφικού. Η πρόσληψη του σκιαγραφικού από τον όγκο είναι χαρακτηριστική της νόσου. Η αξονική τομογραφία (CT) μας δίνει πληροφορίες για το μέγεθος του όγκου, πιθανή έξωνεφρική επέκταση, τη συμμετοχή ή μη του σύστοιχου επινεφριδίου, ύπαρξη λεμφαδένων και την κατάσταση του άλλου νεφρού. Οι όγκοι του νεφρού μπορούν να διαχωριστούν βάσει της εικόνας τους στην CT. Οι όγκοι μπορούν να είναι συμπαγείς ή κυστικοί. Για την αξιολόγηση των δεύτερων χρησιμοποιείται το σύστημα Bosniak.
Σε περιπτώσεις που υπάρχει επιδεινωμένη νεφρική λειτουργία ή αλλεργία στο σκιαγραφικό ή θέλουμε να διαγνώσουμε πιθανή ύπαρξη θρόμβου στη νεφρική ή την Κάτω Κοίλη Φλέβα, χρησιμοποιείται και Μαγνητική Τομογραφία. Συμπληρωματικά στη σταδιοποίηση του καρκίνου πρέπει να διενεργείται CT στον θώρακα για τον αποκλεισμό πνευμονικών μεταστάσεων, ενώ δεν θα πρέπει να παραλείπεται η διενέργεια ακτινογραφίας θώρακας. Άλλες εξετάσεις όπως σπινθηρογράφημα οστών, CT εγκεφάλου, PET scan διενεργούνται εφόσον υπάρχει η αντίστοιχη συμπτωματολογία.
Θεραπεία
Για την αντιμετώπιση των εντοπισμένων στο νεφρό καρκίνων, η θεραπεία εκλογής μέχρι πρόσφατα ήταν η Ριζική Νεφρεκτομή. Πλέον όμως, δεδομένης της ανακάλυψης όλο και περισσότερων μικρών, ασυμπτωματικών όγκων έχουν προωθηθεί οι Ελάχιστα Επεμβατικές Τεχνικές (nephron sparing surgery).
Η Ριζική Νεφρεκτομή συστήνεται σε ασθενείς με εντοπισμένο καρκίνο Νεφρού που δεν είναι υποψήφιοι για Μερική Νεφρεκτομή. Αυτό γίνεται όταν δεν είναι τεχνικά εφικτή η Μερική Νεφρεκτομή ή όταν υπάρχει ισχυρή υποψία για τοπική επέκταση του όγκου. Η ολική εκτομή του όγκου είτε ανοιχτά είτε λαπαροσκοπικά προσφέρει ουσιαστικές πιθανότητες ίασης.
Εναλλακτική θεραπεία κατά του εντοπισμένου Καρκίνου του Νεφρού αποτελεί η χρήση των ραδιοσυχνοτήτων, η διαδερμική αντιμετώπιση, η λαπαροσκοπική αφαίρεση, η κρυοθεραπεία, η χρήση μικροκυμάτων και οι υψηλής συχνότητας εστιασμένοι υπέρηχοι. Πλεονεκτήματα αυτών των τεχνικών είναι η μικρότερη νοσηρότητα, ο μικρός χρόνος νοσηλείας και η θεραπεία ασθενών υψηλού κινδύνου που δεν έχουν ένδειξη για χειρουργική αντιμετώπιση.
Κατ’ αυτόν τον τρόπο, τέτοιες ελάχιστα επεμβατικές τεχνικές μπορεί να προταθούν σε ασθενείς με μικρούς, ασυμπτωματικός όγκους, ηλικιωμένους ασθενείς, ασθενείς με ένα νεφρό ή και ασθενείς με όγκο και στα δύο νεφρά.
Καρκίνος της Ουροδόχου Κύστης
Γενικά
Ο καρκίνος της Ουροδόχου Κύστης είναι η 7η πιο συχνά εμφανιζόμενη κακοήθεια στους άνδρες και 11η αθροιστικά και στα δύο φύλα. Εμφανίζεται συχνότερα στους άνδρες με επιπολασμό στην Ευρώπη εννέα περιστατικά ανά 100.000 πληθυσμού, ενώ στις γυναίκες είναι αντίστοιχα 2,2 περιστατικά ανά 100.000 πληθυσμού. Ο Καρκίνος της Ουροδόχου Κύστης χωρίζεται σε δυο μεγάλες κατηγορίες, τον επιφανειακό και τον μυοδιηθητικό. Περίπου το 75% των ασθενών με Καρκίνο της Ουροδόχου Κύστης εμφανίζονται με την νόσο εντοπισμένη στον βλεννογόνο της κύστης. Σε νεότερους ασθενείς η αναλογία αυτή είναι πολύ μεγαλύτερη.
Υπάρχουν διάφοροι παράγοντες που ενοχοποιούνται για την εμφάνιση της νόσου, με κυριότερο το κάπνισμα, που ενοχοποιείται στο 50% των περιπτώσεων. Ο καπνός περιέχει αρωματικές αμίνες και πολυκυκλικούς υδρογονάνθρακες, που αποβάλλονται με τα ούρα. Άλλοι περιβαλλοντικοί παράγοντες που ενοχοποιούνται για την εμφάνιση του Καρκίνου της Ουροδόχου Κύστης είναι η έκθεση σε ουσίες που περιέχουν παράγωγα αμινών, όπως εργοστασιακά παράγωγα που χρησιμοποιούνται στην επεξεργασία χρωμάτων και πετρελαίου και είναι υπεύθυνα για το 10% των περιστατικών της νόσου. Ωστόσο, με την εισαγωγή νέων κανόνων ασφαλείας για την προστασία του προσωπικού, οι εργάτες που εκτίθενται σε αυτά τα χημικά δεν έχουν πλέον υψηλότερα ποσοστά εμφάνισης καρκίνου σε σχέση με τον υπόλοιπο πληθυσμό.
Δεν υπάρχει κάποια ένδειξη για την ύπαρξη κληρονομικότητας στην εμφάνιση του Καρκίνου της Ουροδόχου Κύστης. Ωστόσο μπορεί να υπάρχει κάποιος ασθενή συσχέτιση μέσω της επίδρασης κάποιων γενετικών παραγόντων και πιθανών μεταλλάξεων που καθιστούν τον ασθενή ευάλωτο σε άλλους παράγοντες κινδύνου.
Διάγνωση
Το συχνότερο σύμπτωμα με το οποίο παρουσιάζεται ο Καρκίνος της Ουροδόχου Κύστης είναι η αιματουρία, η οποία μπορεί να είναι είτε μικροσκοπική ή μακροσκοπική. Η μακροσκοπική αιματουρία μπορεί να συσχετιστεί με πιο προχωρημένο στάδιο της νόσου κατά την αρχική εμφάνιση. Σε ασθενείς με ερεθιστικά συμπτώματα κατά την ούρηση πρέπει πάντα να τίθεται ερώτημα κατά τη διαφορική διάγνωση ως προς πιθανό Carcinoma in situ (CiS), δηλαδή ενός επιφανειακού καρκίνου της κύστης με υψηλό βαθμό κακοήθειας.
Η συνηθέστερη εξέταση για την διάγνωση της νόσου είναι το υπερηχογράφημα της κύστης. Με αυτόν τον τρόπο επιτρέπεται η διάγνωση όγκων του νεφρού. Το υπερηχογράφημα ανιχνεύει την υδρονέφρωση καθώς επίσης και την απεικόνιση εξωφυτικών μορφωμάτων της ουροδόχου κύστης.
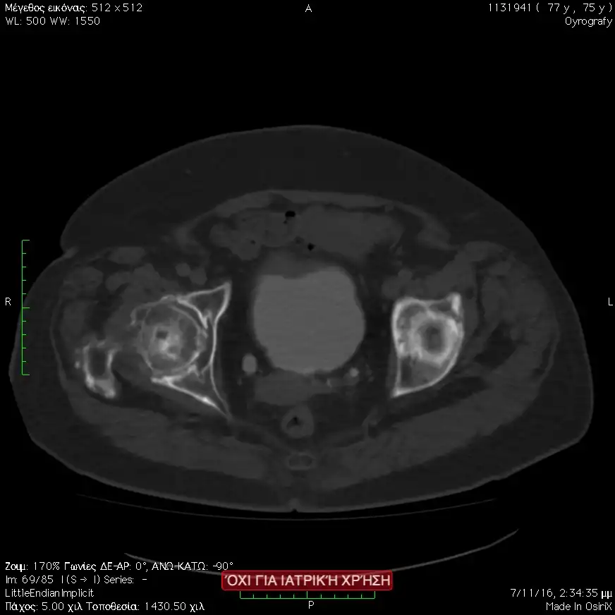
Η αξονική ουρογραφία ή εναλλακτικά η ενδοφλέβιος πυελογραφία χρησιμοποιούνται για την ανίχνευση μορφωμάτων στην ουροφόρο οδό με την ανάδειξη ελλειμμάτων πλήρωσης.
Η κυτταρολογική εξέταση των ούρων περιλαμβάνεται στον συνήθη έλεγχο της αιματουρίας και της διάγνωσης του καρκίνου της κύστης και είναι πιο αξιόπιστη εξέταση. Αναδεικνύει την υψηλού βαθμού κακοήθεια όγκων T1G3 σε ποσοστό 84%.
Κυστεοσκόπηση
Η διάγνωση των όγκων της Ουροδόχου Κύστης γίνεται με την κυστεοσκοπική απεικόνιση και ιστολογική επιβεβαίωση με τη λήψη βιοψίας . Σε CiS μπορεί να γίνει με την χρήση μοβ φωτισμού μετά από ενδοκυστική έγχυση 5-αμινολεβουλινικου οξέος (5-ALA). Με αυτόν τον τρόπο αναδεικνύονται οι ύποπτες περιοχές που απεικονίζονται ως ερυθρές. Ο φυσιολογικός βλεννογόνος έχει μπλε χρώμα. Η μέθοδος αυτή ονομάζεται φωτοδυναμική διάγνωση.
Θεραπεία
Στον μη διηθητικό καρκίνο της κύστης η θεραπεία είναι η διουρηθρική αφαίρεση του όγκου είτε με μονοπολική ή με διπολική διαθερμία.
Συμπληρωματικά, ανάλογα με τον βαθμό κακοήθειας και την πιθανότητα για εξέλιξη ή υποτροπή της νόσου, μπορεί να απαιτηθούν ενδοκυστικες έγχυσεις με χημείοθεραπευτικά σχήματα ή με BCG.
Στον μυοδιηθητικό καρκίνο της κύστης ή σε αποτυχία της θεραπείας σε υψηλού βαθμού κακοήθειας νόσο, η θεραπεία εκλογής είναι η ριζική κυστεκτομή με εκτροπή των ούρων.
Εναλλακτικά, μπορεί να χρησιμοποιηθεί ακτινοβολία και χημειοθεραπεία συμπληρωματικά με την επέμβαση, σε ασθενείς ακατάλληλους για χειρουργείο ή που δεν δέχονται τις πιθανές επιπλοκές αυτού.
Καρκίνος του Όρχι
Γενικά
Ο καρκίνος του όρχι αποτελεί το 1% των νεοπλασιών στους άνδρες. Κατά τη στιγμή της διάγνωσης, το 1-2% των ασθενών εμφανίζουν αμφοτερόπλευρη νόσο, ενώ στο 90-95% προέρχεται από γεννητικά κύτταρα, με κυρίαρχο τύπο το σεμίνωμα.
Συχνότερη ηλικία εμφάνισης είναι η 3η δεκαετία για τους μη-σεμινωματώδεις όγκους και η 4η για τους σεμινωματώδεις. Γενικά, μπορούμε να πούμε ότι ο καρκίνος του όρχι εμφανίζει υψηλά ποσοστά θεραπείας λόγω της χημειο/ακτινο-ευαισθησίας που τον διακρίνει.
Προδιαθεσικοί παράγοντες για τη νόσο είναι το ιστορικό κρυψορχίας, η μικρό λιθίαση του όρχι σε συνδυασμό με την ύπαρξη in situ νεοπλασιών στον όρχι και το οικογενειακό ιστορικό με Καρκίνο του Όρχι σε συγγενείς 1ου βαθμού.
Σε μεγάλες σειρές ασθενών, το 75-80% των ασθενών με σεμίνωμα και το 55% των ασθενών με μη-σεμινωματώδεις όγους έχουν στάδιο Ι της νόσου κατά τη στιγμή της διάγνωσης, γεγονός που συνεπάγεται πολύ καλή πρόγνωση για τον ασθενή.
Διάγνωση
Ο καρκίνος του όρχι εμφανίζεται κατά κανόνα ως μια ανώδυνη, ψηλαφητή, ετερόπλευρη μάζα στην περιοχή του οσχέου. Σπανιότερα ανακαλύπτεται μετά από τραυματισμό του οσχέου. Ο πόνος στο όσχεο μπορεί να είναι το πρώτο σύμπτωμα στο 20% των περιπτώσεων. Αναγνωρίζεται στο 27% των περιπτώσεων με Καρκίνο στον Όρχι. Η γυναικομαστία ανευρίσκεται στο 7% των περιπτώσεων, ιδιαίτερα στους μη σεμινωματώδεις όγκους. Πόνος στην πλάτη ή στα πλευρά που οφείλεται σε μετάσταση εμφανίζεται στο 11% των ασθενών.
Η κλινική εξέταση είναι χαρακτηριστική για την ύπαρξη της ψηλαφητής μάζας, ενώ η εξέταση θα πρέπει να περιλαμβάνει και την ψηλάφηση για πιθανούς λεμφαδένες ή γυναικομαστία.
Σε όλες τις περιπτώσεις με υποψία όγκου στον όρχι, θα πρέπει να γίνεται υπέρηχος οσχέου για να αναδειχθεί ο όγκος και να απεικονιστεί και ο ετροπλευρος όρχις. Η Μαγνητική Τομογραφία είναι πιο αξιόπιστη στην απεικόνιση των μαζών στο όσχεο αλλά το υψηλό κόστος την καθιστά απαγορευτική ως εξέταση ρουτίνας.
Στη διάγνωση και την πρόγνωση, σημαντικό ρόλο διαδραματίζουν οι καρκινικοί δείκτες, η ανάλυση των οποίων θα πραγματοποιείται πριν και 5-7 μέρες μετά την ορχεκτομή, και οι οποίοι είναι η α-φέτοπρωτεΐνη (α-FP),η β-χοριακή γόναδοτροπινη (β-HCG) και η γαλακτική διυδρογονάση (LDH).
Θεραπεία
Η θεραπεία του Καρκίνου του Όρχι είναι η ριζική ορχεκτομή με βουβωνική τομή, με αφαίρεση του όρχι και των περιβλημάτων του. Αν και δεν υπάρχουν αρκετά δεδομένα από μελέτες, έχει φανεί ότι μπορεί στον ίδιο χρόνο με την ορχεκτομή να τοποθετηθεί ορχική πρόθεση.
Ανάλογα με την ιστολογική εικόνα και το στάδιο της νόσου μπορεί να απαιτηθεί συμπληρωματική θεραπεία με χημειοθεραπεία ή ακτινοβολία.
Για περισσότερες συμβουλές και πληροφορίες για τις Κακοήθειες του Ουροποιητικού Συστήματος, μπορείτε να επικοινωνήσετε απευθείας με τον κ. Δελλή.







